Mezinárodní výzkumný tým vedený vědci Botanického ústavu AV ČR zveřejnil výsledky studia diverzity lišejníků, které kombinovalo analýzu environmentální DNA (eDNA) s tradičními taxonomickými průzkumy. Díky této inovativní metodě se významně zlepšilo poznání českých lišejníků. Bylo nalezeno 43 druhů nových pro Českou republiku, 12 zcela nových pro vědu a objeveny 2 nové rody.
Kombinace metod odhalila, že běžné druhy lišejníků lze efektivně identifikovat oběma postupy. Analýza eDNA však umožnila zaznamenat velké množství druhů, které jsou při tradičních taxonomických průzkumech zpravidla přehlíženy. Některé druhy byly v eDNA datech podhodnoceny, avšak stovky dalších se objevovaly výrazně častěji než při klasických taxonomických průzkumech. Tento objev potvrzuje, že kombinace klasických a moderních přístupů zvyšuje účinnost výzkumu biodiverzity.
„Spojení tradičního taxonomického průzkumu a environmentálního sekvenování DNA poskytuje v současné době nejkompletnější obraz o druhové rozmanitosti a o složení lišejníkových společenstev. Metoda umožňuje identifikaci i těch nejvzácnějších a nejméně nápadných druhů. Například drobné mikrolišejníky byly klasickými metodami často přehlíženy, zatímco nápadné makrolišejníky byly tradičními průzkumy zaznamenány většinou stejně účinně jako při analýze eDNA,“ říká vedoucí výzkumného týmu Jan Vondrák z Taxonomického oddělení Botanického ústavu AV ČR.
V České republice výzkum probíhal ve 20 lesních lokalitách, na nichž vědci identifikovali přes 600 druhů. Mezi nejvýznamnější výsledky patří zjištění desítek neznámých druhů, z nichž 12 bylo pro světovou vědu nově popsáno. Byly objeveny také druhy, které představují dva zcela nové rody lišejníků. Dva druhy – Absconditella amabilis a Chaenotheca nitidula – byly poprvé zaznamenány na evropském území.

Poprvé v historii byla také eDNA data využita k podrobnému popisu rozšíření a ekologické preferenci nově popisovaných druhů. Propojit eDNA s existujícími (hmatatelnými) druhy lišejníků umožnila databáze DNA barkodů (specifické úseky DNA, které se používají k rozpoznávání a identifikaci druhů) sestavená speciálně za tímto účelem. Průzkumy lišejníků pomocí eDNA skýtají do budoucna ucelené údaje o lokální až globální biodiverzitě a mohou být využity například při monitoringu vzácných druhů či studiu proměn lišejníkových společenstev v souvislosti s lokálními až globálními změnami.
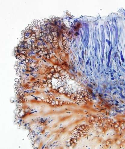
Obr. Toniniopsis pruinosa je jeden z nově popsaných druhů. Jde o vzácný lišejník bukových pralesů. Mikroskopický pohled na anatomické znaky.
Co je eDNA
Environmentální DNA (eDNA) je genetický materiál získaný z prostředí, například z vody, půdy nebo vzduchu. Tento materiál zahrnuje DNA z buněk, které jsou v daném prostředí přítomné, včetně DNA ze slin, výkalů a odumřelých organismů. Vědci mohou sbírat vzorky z prostředí (například vodu z řeky) a pomocí analýzy eDNA zjistit, jaké druhy organismů tam žijí, aniž by je museli přímo pozorovat nebo odchytávat. Tato metoda se často využívá k monitorování biodiverzity, sledování ohrožených druhů nebo detekci invazivních organismů. Je rychlá, neinvazivní a šetrná k přírodě.
Více informací:
Jan Vondrák, Stanislav Svoboda, Jiří Malíček, Jaroslav Šoun, Jiří Košnar, Måns Svensson, Einar Timdal, Jiří Machač
& Zdeněk Palice: Combining environmental DNA data and taxonomic surveys provides an unprecedented understanding of lichen diversity and accelerates the discovery of new species (Preslia)




